🆘️🆘️❗SAJ NI RES PA JE – USTRELJEN PES, KDO GA PREPOZNA ❓NUJNO POTREBUJEMO VAŠO POMOČ 🆘️🆘️
To je Rudi. Rudi je majhen kuža, tehta nekaj več kot 7 kg. Rudi je bil ustreljen (najverjetneje) z malokalibrsko puško 🔫🤐😥.
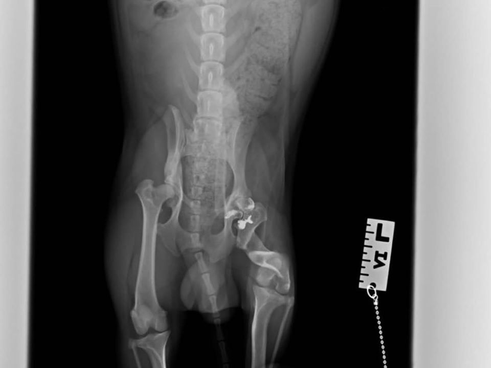
Diagnoza: hud zlom stegnenice, dislokacija pogačice, omejena gibljivost kolka
Prognoza: 2 operaciji, eno je že prestal, naravnali smo stegnenico, druga ga še čaka – poravnava pogačice, odrstranitev zgornjega dela stegnenice, da se povrne gibljivost kolka in odstranitev metka.
Rudi je k nam prišel zelo prestrašen, zavračal je hrano in vodo, kar nekaj časa smo potrebovali, da smo mu pokazali, da je na varnem in se je sprostil vsaj malenkost (ogromno dela bo še vloženega) 😢. Na srečo ima super pasje sostanovalce, ki mu pomagajo pri navajanju na novo, prijaznejše življenje.
‼Ker bomo zanj zahtevali pravico, bomo po odstranitvi metka iskali krivca in podali prijavo na policijo 👮♂️👮♀️, zato ➡️ ALI KDO PREPOZNA TEGA PSIČKA ali njegove skrbnike ⁉️ Najden na Dolenjskem, bil je pripeljan v Zavetišče Turk.
Redko prosimo za pomoč, a stroški prve operacije so nanesli dobrih 1.200 €. Če nam lahko kdo pomaga pri placilu le-teh, bomo zelo hvaležni za poslan sms:
🙏 LAJKA5 na 1919
ali nakazilo na TRR:
🙏 Lajka, društvo za zaščito in pomoč živalim v stiski
Cesta v Mestni log 33
1000 Ljubljana
IBAN: SI56610000001324494
BIC: HDELSI22
Referenca je lahko npr.: SI00 + Datum (primer SI00 25032020)
Skupaj zmoremo 💪. Prosimo za delitve, da ga ugledajo 👀, ki bi ga prepoznale 🙏.
#pravicazarudija #ustreljenpes #kdogaprepozna #borecrudi#skupajsmomocnejsi #prosimozapomoč #lajkarjiiščejodom#lajkarjisozakon #lajka #hvalaklinikaloka @klinikaloka #hvaladrnovakinekipa #helpneeded #rescuedog#rescuedogsofinstagram #rescueddogsofinstagram





